Случаи из практики: обратились с жалобами на хромоту на левую заднюю лапу

Случаи из практики: обратились с жалобами на хромоту на левую заднюю лапу

Дата публикации: 21.12.2020

Закрыть

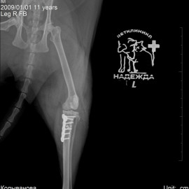
Наш пациент кошечка по кличке Маня возрастом 11 лет. Обратились в нашу клинику с жалобами на хромоту на левую заднюю лапу. После проведенных исследований был поставлен диагноз - разрыв передней крестообразной связки левого коленного сустава. После проведения предоперационного обследования (анализы) проведена операция - CTWO.

Рентгенологические снимки до операции.

Рентгенологический снимок после проведенной операции.