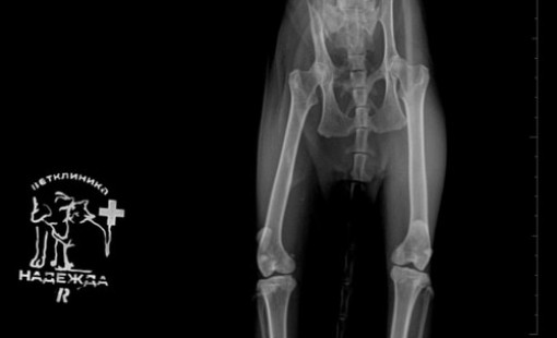
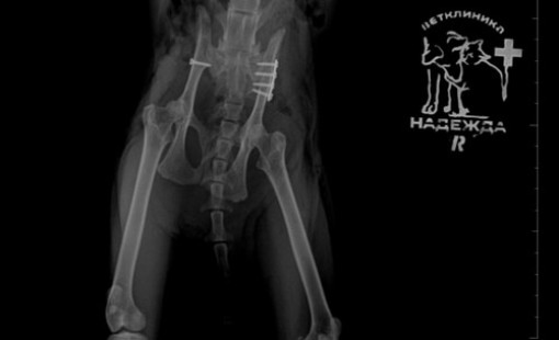
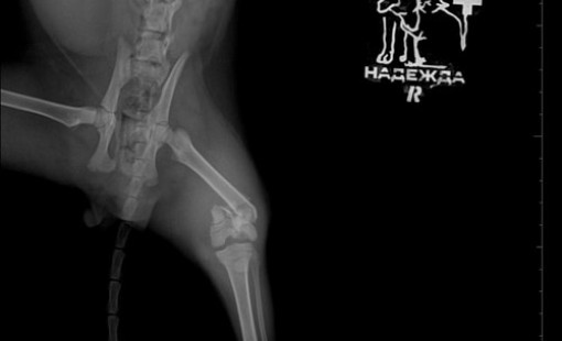
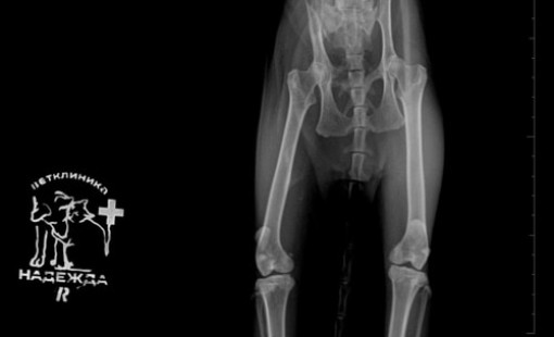
Случаи из практики

Ветеринарная клиника Надежда

За более чем 30-ти летнюю практику наши ветеринары сталкивались в различными случаями болезней и травм животных. Это дало нам огромный опыт в лечении и реабилитации. Мы беремся даже за самые сложные случаи! С любовью и заботой относимся к животным, стараемся сделать так, чтобы они испытывали минимум дискомфорта во время лечения и реабилитации.