Пациент после автотравмы

Пациент после автотравмы

Дата публикации: 01.03.2021

Закрыть

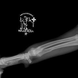
Наш пациент после автотравмы. После осмотра и проведения рентгенологических исследований выл поставлен диагноз - косой диафизарный перелом правой лучевой и локтевой кости со смещением. Была проведена операция - остеосинтез костей правого предплечья.

Снимки до операции.

Снимки после операции.

Видео после операции.