Случай из практики. Пациент после автотравмы.

img2142472799_17544416300773609_m.jpg

Дата публикации: 12.04.2021

Закрыть

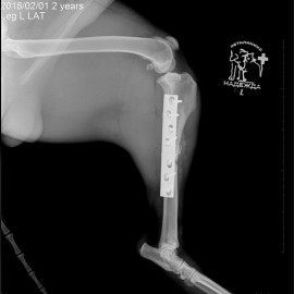
Наш пациент после автотравмы. Был проведен остеосинтез левой голени, в ходе которого была установлена динамическая титановая пластина с винтами. Так же были наложены серкляжные швы из титановой проволоки. Состояние пациента хорошее. Лапой пользуется активно.

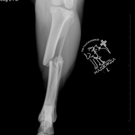
Снимок 1-2 до операции.

Снимок 3-4 после операции