Случай из практики. Жалобы на отсутствие аппетита, вялость, рвоту, потерю веса.

img-1497229197_2376043681514212_m.png

Дата публикации: 10.01.2022

Закрыть

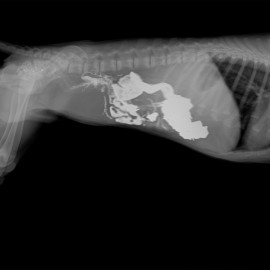
Обратились в ветеринарную клинику 13.07.2021г с жалобами на отсутствие аппетита, вялость, рвоту, потерю веса. Собаке были проведены осмотр, ОАК, БХАК, УЗИ брюшной полости, контрастная рентгенография желудочно-кишечного тракта.

Поставлен диагноз: Инородные предметы в желудке, кишечная непроходимость. Во время операции в полости желудка и кишке обнаружены свинцовые пластинки.

Ждем вас по адресу : Чернышевского 33А

тел. +7 (8172) 54-00-54