Случай из практики. Жалобы на хромоту на заднюю левую лапу.

Случай из практики. Жалобы на хромоту на заднюю левую лапу.

Дата публикации: 15.02.2022

Закрыть

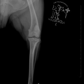
Наш пациент собака по кличке Артемон. Обратились с жалобами на остро развившуюся хромоту на заднюю левую лапу. После осмотра и рентгенологического исследования был поставлен диагноз - разрыв передней крестообразной связки левого коленного сустава. Была проведена операция- TPLO.

Снимки 1-2 до проведения операции.

Снимки 3-4 после проведённой операции.

Видео после операции.