Случай из практики. Жалобы на на отсутствие опороспособности на левую тазовую конечность.

Случай из практики. Жалобы на на отсутствие опороспособности на левую тазовую конечность.

Дата публикации: 20.05.2022

Закрыть

Обратились в нашу клинику с жалобами на отсутствие опороспособности на левую тазовую конечность.

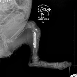
После проведенных исследований был поставлен диагноз: перелом левой голени.

Проведена операция: остеосинтез левой голени.

Снимок 1 до операции.

Снимки 2-3 после операции.

Видео после операции.